
Improving Gum Health With A Deep Cleaning
When your gums begin to feel sore or bleed when brushing and flossing, this is cause for concern. Without treatment, your smile runs the risk of developing gum disease, or even worse, periodontitis! To avoid complications like discomfort or tooth loss, you may benefit from a deep cleaning. When should you contact your Newhall, CA, dentist for a scaling and root planing?
The Warning Signs of Gum Disease
The problem starts with inflammation, which could be caused by plaque buildup irritating the gum tissues. Plaque appears as a result of bacteria breaking down food particles, and a lack of proper brushing and flossing. Other causes of inflammation, also known as gingivitis, include certain medications, family history of periodontal issues, inflammatory illnesses, or tobacco use. As gingivitis grows more severe, the tissues pull away from the teeth and form deep pockets for bacteria to enter, leading to gum disease. Warning signs may include soreness, redness, or bleeding when you brush and floss.
Controlling Inflammation with a Deep Cleaning
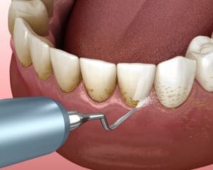
To address inflammation, we may perform a deep cleaning. Also known as a scaling and root planning, the procedure reverses gingivitis and helps manage gum disease to prevent periodontitis. We use an ultrasonic scaler and manual tool to remove all buildup from the surfaces of the teeth and the roots. The process could take only one visit, or requires up to four depending on the extent of the buildup. We then polish the teeth for a brighter appearance and a smoother finish. Following this visit, we may suggest a routine cleaning every three to four months to continue removing plaque and protecting the smile from worsening inflammation.
Routine Care
You also need to maintain routine care from home to remove food particles and reduce the severity of plaque buildup in between office visits. You should start each day by brushing your teeth for two minutes, and then close out the day by doing the same. You also need to floss thoroughly before bed too. These actions remove trapped food particles preventing bacteria from breaking them down. We also recommend cutting back on sugary foods and drinks to avoid feeding bacteria, and to quit smoking or using tobacco products that could increase the severity of periodontal issues. If you have any questions about the daily care need to keep your smile strong and whole, then contact our team today.
Do You Have Questions About Treating Periodontal Disease?
Our team understands how important preventing or managing periodontal disease is for keeping smiles whole and healthy. To learn more about the improving your gum health, then please schedule a consultation by calling Newhall Dental Arts in Newhall, CA, today at (661) 259-7760.
Recent Articles

Your Oral Health Baseline: Understanding Your Comprehensive Dental Exam and What the Numbers Mean

Focusing On Comprehensive Oral Health

Break A Tooth? Call Your Dentist!

.png)